孕婦急性胰臟炎 北慈急剖腹母嬰均安
2024-05-31 | 廖唯晴
陳泓達醫師看診示意照。(圖:臺北慈濟醫院)
急性胰臟炎是常見住院病因,胰臟炎若是未及時治療,導致嚴重發炎變成全身發炎反應時,疾病就會影響其他器官,甚至變成周圍組織壞死、腹內感染、敗血症等嚴重狀況,不可不慎。
陳泓達醫師表示,高血脂的藥物有致畸胎性,所以懷孕前就必須停用,若孕婦本身有血脂肪過高的情形,可以透過飲食與體重控制。產科張銀洸主任也提醒,具有肥胖、糖尿病或高血脂等代謝疾病病史的孕婦,在懷孕期間務必要按期至新陳代謝科追蹤,以避免突發狀況,危及自己與胎兒健康。
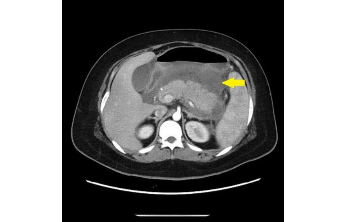
血脂肪過高引致急性胰臟炎,胰臟發炎腫脹,胰臟周圍也呈現發炎狀態。(圖:臺北慈濟醫院) (文:廖唯晴 新北報導 慈濟基金會文史處葉臻編輯 2024/05/31)























































