鼻竇發炎影響睡眠 北慈內視鏡手術恢復呼吸通暢
2024-01-24 | 廖唯晴
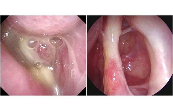
鼻竇如果因為感冒感染成鼻竇炎,初期會出現黃綠色鼻涕、鼻塞等症狀,容易發生在有鼻腔結構異常,如息肉增生或鼻子嚴重過敏的人,急性鼻竇炎要是持續三個月左右仍未痊癒就會變成慢性鼻竇炎。
鼻竇炎初期能以一般感冒藥治療,但是如果變成慢性鼻竇炎,出現嚴重併發症,就需要手術治療。不同於傳統手術必須將鼻竇整個切除,「功能性內視鏡鼻竇炎手術」是透過鼻孔的自然孔洞將內視鏡伸入病灶,把腫脹的息肉切除,擴大鼻竇開口並清除發炎黏液。

急性鼻竇炎很常見,也因此容易被當成小感冒忽略,當演變成慢性發炎後,就得依靠手術治療,陳昱安醫師提醒民眾千萬不要忽視早期症狀,越早就醫控制,越能避免惡化成不可逆的傷害。
(文:廖唯晴 新北報導 慈濟基金會文史處葉臻編輯 2024/01/24)